IMPLANTES DENTALES Y AUSENCIAS DENTALES

La ausencia de dientes son otro de los problemas que nos encontramos en la consulta con frecuencia. Y siempre que sea posible, su rehabilitación se hará mediante un implante dental.

Estas ausencias tienen su origen en casos de agenesia dental, cuando por causas genéticas no existe uno o varios dientes o vienen causadas también por la perdida de uno o varios dientes por infección o fractura.

Toda ausencia dental puede ser tratada con un gran avanico de posibilidades terapeuticas, que van desde un implante dental, pasando por una prótesis fija como un puente cerámico, una prótesis removible incluso un puente confeccionado con fibra de vidrio y composite.

CASOS CLÍNICOS


IMPLANTE DENTAL INMEDIATO 

Sexo: Hombre

Edad: 45

Problema: Decoloración severa por infección recurrente a nivel de la raiz dental y fractura de la misma.

Solución: Tras la extracción, se procedió a la colocación inmediata de un implante junto con tejido de regeneración osea  y un injerto de tejido blando. Y ese mismo día se colocó una corona provisional, que se cambio por otra provisonal, hasta pasados 9 meses cuando se colocó la corona definitiva.

Duración del tratamiento: Trás la cirugía se colocó una corona provisional durante 9 meses hasta la realización de la corona cerámica definitiva. Tratamiento prolongado en varias sesiones: estudio y planificación, cirugía, controles y pruebas protesicas y colocado.

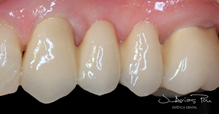
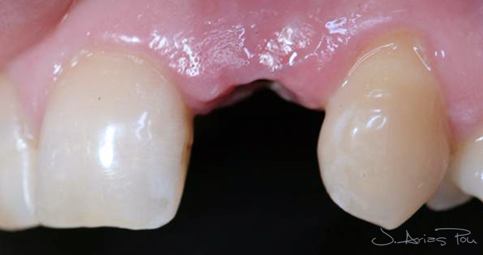
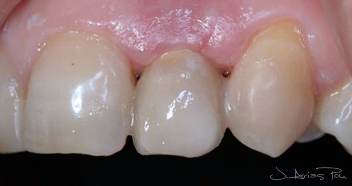
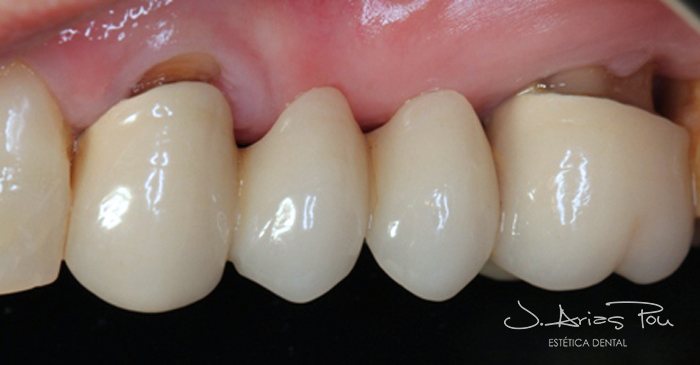
IMPLANTES DENTALES EN ZONA ESTÉTICA
 


Sexo: Mujer

Edad: 25

Problema: ausencia de dientes.

Solución: el presente caso se solucionó con la colocación de dos implantes y sus correspondientes coronas inplantosoportadas de composite indirecto. Tratamiento con anestesia.

Duración del tratamiento: trás la cirugía se realizaron tres sesiones hasta colocar las coronas definitivas.



AUSENCIA DE DIENTES TRATADA CON IMPLANTES DENTALES Y PRÓTESIS TITANIO-COMPOSITE.

Sexo: Mujer

Edad: 67

Problema: fracturas continuas en su protesis de resina implantosoportada.

Solucion: rehabilitación mediante protesis híbrida implnatosoportada de titanio-composite.

Duración del tratamiento: Dos meses para la confección de la nueva prótesis tras las pruebas requeridas.

AUSENCIA DE DIENTES TRATADA COM IMPLANTES DENTALES Y PRÓTESIS IMPLANTOSOPORTADA.

Sexo: Mujer

Edad: 32

Problema: Aspecto poco estético de la sonrisa junto con problemas periodontales.

Solucion: Tras el saneamiento bucodental, las extraccines dentales y la colocacion de varios implantes dentales, se procedió a la rehabilitación mediante protesis híbrida implantosoportada de titanio-composite.

Duración del tratamiento: Unos seis meses aproximadamenta desde las extracciones, hasta la confección de la nueva prótesis tras los tiempos de cicatrización y las pruebas requeridas.



Ausencia de dientes tratado con un puente de circonio.


Sexo: Mujer.

Edad: 52 años.

Problema: Aspecto poco estético de un puente metal-cerámico de cuatro piezas con ausencia de dos dientes, el cual deja expuestas las raices de los dos dientes pilares.

Solución: en este caso se decidió sustituir el puente antiguo y desajustado de metal-cerámica, por un puente de circonio-porcelana, mejorando así la funcionalidad y la estética, y recubriendo totalmente los pilares expuestos. Tratamiento con anestesia local.

Duración del tratamiento: 3 sesiones en unas tres semanas.

Ausencia de un diente tratado con un puente maryland de su propia corona y fibra de vidrio.

Sexo: Mujer.

Edad: 41.

Problema: ausencia de diente por extracción del mismo.

Solución: la paciente insistió en conservar su propio diente, así que tras la extracción se procedió a cortarle la raíz infectada y una vez tratada la corona se cementó a sus dientes vecinos con un refuerzo metálico y composite. Tratamiento con anestesia.

Duración del tratamiento: única sesión de 2 horas.