COSMÉTICA DENTAL


La palabra cosmético proviene del griego. Donde el cosmos podría traducirse como "belleza" y el ico sería lo "relativo a"

Ya desde la época de los egipcios, la cosmetica era el arte de permanecer bellos, no solo ocultando pequeños defectos o rejuveneciendo, sino enbelleciendo nuestro aspecto.

Cuando nos referimos al término "Cosmética Dental", podríamos decir que nos estamos refiriendo al hecho de embellecer nuestros dientes. Mediante la ulilización de joyería dental o mediante técnicas como el blanqueamiento dental, con el que damos un aspecto más sano e incluso rejuvenecedor a nuestros dientes. 

CASOS CLÍNICOS


SKYCE DENTAL.


Sexo: mujer

Edad: 25

La paciente quiere darle un toque atrevido a su sonrisa con una piedra de cristal. Skyce.

Duración del tratamiento: El tratamiento se realiza en 30 minutos y para ello no es necesario ninguna preparacion del diente ni utilizar anestesia.

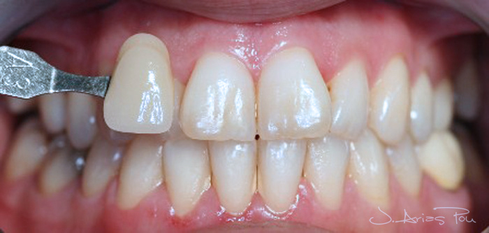
BLANQUEAMIENTO PARA TRATAR DECOLORACIONES.

Sexo: mujer

Edad: 34 años


Problema: decoloración de los dientes

Solución: tratamiento de blanqueamiento ambulatorio.

Tratamiento sin anestesia

Duración del tratamiento: 2 semanas



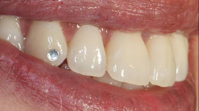
SKYCE, JOYA DENTAL


Sexo: mujer

Edad: 31

La paciente quiere enbellecer su sonrisa dándole un toque más juvenil y atrevido con un brillante de cristal llamado Skyce.

Duración del tratamiento: El tratamiento se realiza en 30 minutos y para ello no es necesario ni desgastar el diente ni utilizar anestesia.

 

Joyería dental


Sexo: mujer

Edad: 22

Colocación de una piedra brillante en un diente para hacer más atractiva su sonrisa.

Duración del tratamiento: El tratamiento se realiza en 30 minutos y para ello no es necesario ninguna preparacion del diente ni utilizar anestesia.

 



Cosmética dental

Sexo: mujer

Edad: 27

Paciente que quiere embellecer su sonrisa con un skyce, un brillante artificial.

Duración del tratamiento: única sesión de 30 minutos. No se lesiona el diente y no necesita anestesia.



 

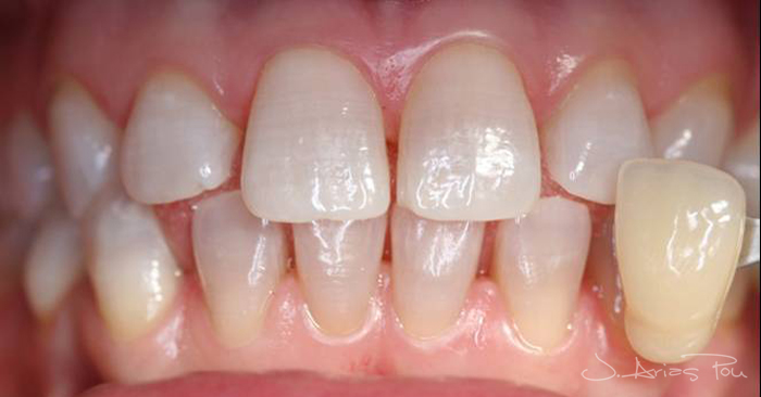
Decoloración dental provocada por tetraciclinas tratada con un blanqueamiento

Sexo: mujer

Edad: 31 años


Problema: decoloración dental por tetraciclinas.

Solución: tratamiento de blanqueamiento ambulatorio.

Tratamiento sin anestesia

Duración del tratamiento: 2 semanas.