ORTODONCIA Y MALPOSICIÓN

Los problemas relacionados con la posición de los dientes pueden derivarse de la propia erupción de los mismos o bien por migraciones de los dientes causadas por enfermedades periodontales.

Lo ideal para cualquier tipo de problema relacionado con la posición de los dientes sería siempre un tratamiento de ortodoncia, aunque tambien se podrían emplear coronas o carillas de porcelana incluso carillas o coronas de composite cuando la malposición no sea tan severa, o la ortodoncia no sea el tratamiento de elección del paciente por cualquier circunstancia.

CASOS CLÍNICOS


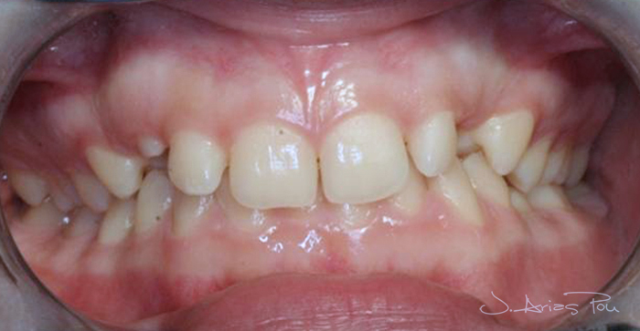
MALPOSICIÓN DENTARIA TRATADA CON ORTODONCIA INVISIBLE.

Sexo: mujer.

Edad: 26 años.

Problema: malposición dentaria.

Solución: tratamiento de ortodoncia mediante INVISALING (Ortodoncia invisible). Tratamiento sin anestesia.

Duración del tratamiento: 18 meses aproximadamente.

ORTODONCIA PARA CORREGIR MALPOSICIONES.


Sexo: mujer

Edad: 17 años

Problema: malposición dentaria

Solución: tratamiento de ortodoncia. Tratamiento sin anestesia.

Duración del tratamiento: año y medio aproximadamente.



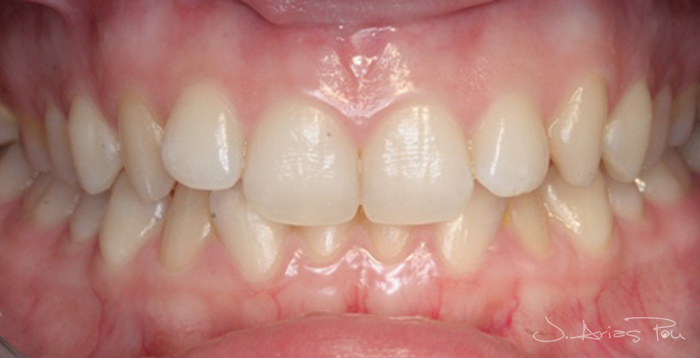
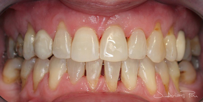
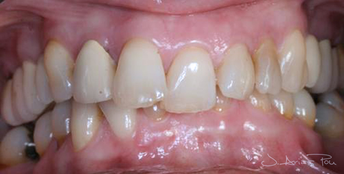
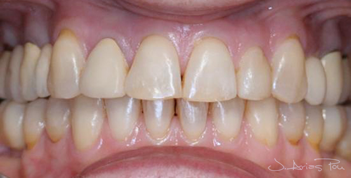
TRATAMIENTO MULTIDISCIPLINAR.


Sexo: mujer

Edad: 42 años

Problema: malposiciones dentarias, decoloraciones, ausencias de dientes...

Solución: tratamiento multidisciplinas con ortodoncia, implantes dentales, blanqueamiento y esculturaciones dentales con composites estéticos para mejora de la sonrisa.

Duración del tratamiento: Aproximadamente dos años en conjunto.

Cierre de diastema con coronas ceramicas.


Sexo: mujer

Edad:41 años

Problema: diastemas, espacios entre dientes.

Solución: tratamiento con coronas ceramicas para cerrar espacios y mejora de la sonrisa. Tratamiento con
anestesia (la primera sesión).

Duración del tratamiento: cuatro sesiones: tallado con anestesia, 2 pruebas y una última sesión de colocado. 3 semanas de tratamiento.



Malposición dentaria tratada con Ortodoncia Invisible.

Sexo: mujer

Edad: 18 años

Problema: malposición dentaria

Solución: tratamiento de ortodoncia con ortodoncia invisible. Tratamiento sin anestesia.

Duración del tratamiento: año y medio aproximadamente.

Cierre de diastema tratado con Ortodoncia.

Sexo: mujer

Edad: 56 años.

Problema: diastema entre incisivos centrales superiores, malposición dentaria.

Solución: tratamiento de ortodoncia. Tratamiento sin anestesia.

Duración del tratamiento: año y medio aproximadamente.



Malposición tratada con ortodoncia

Sexo: mujer.

Edad: 43 años.

Problema: malposición dentaria.

Solución: tratamiento de ortodoncia. Tratamiento sin anestesia.

Duración del tratamiento: 2 años aproximadamente.