TEJIDOS BLANDOS

Los principales problemas estéticos relacionados con las encías son las pigmentaciones por exceso de melanina, las retracciones de encía y la hipertrofia gingival (crecimiento anómalo de las encías).

Las pigmentaciones por melanina suelen eliminarse con tratamientos de microabrasión.

Las retracciones de encía pueden tratarse dependiendo de la cantidad de raíz expuesta con:
- injertos de encía,
- restauraciones de composites.

La hipertrofia gingival normalmente se trata con cirugía, eliminando el exceso de encía.

CASOS CLÍNICOS


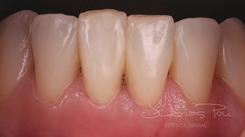
Retracción de encia tratada con injerto y colgajo.


Sexo: mujer.

Edad: 32.

Problema: exposición radicular debido a la retracción de la encía.

Solución: colgajo de reposición para cubrir la raiz expuesta junto con un injerto de tejido conectivo. Tratamiento con anestesia local.

Duración del tratamiento: única sesión de 90 minutos. Y revisiones periódicas hasta la estabilización del tejido blando.

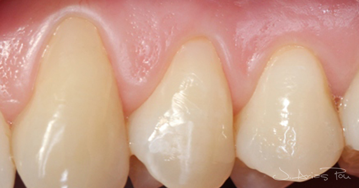
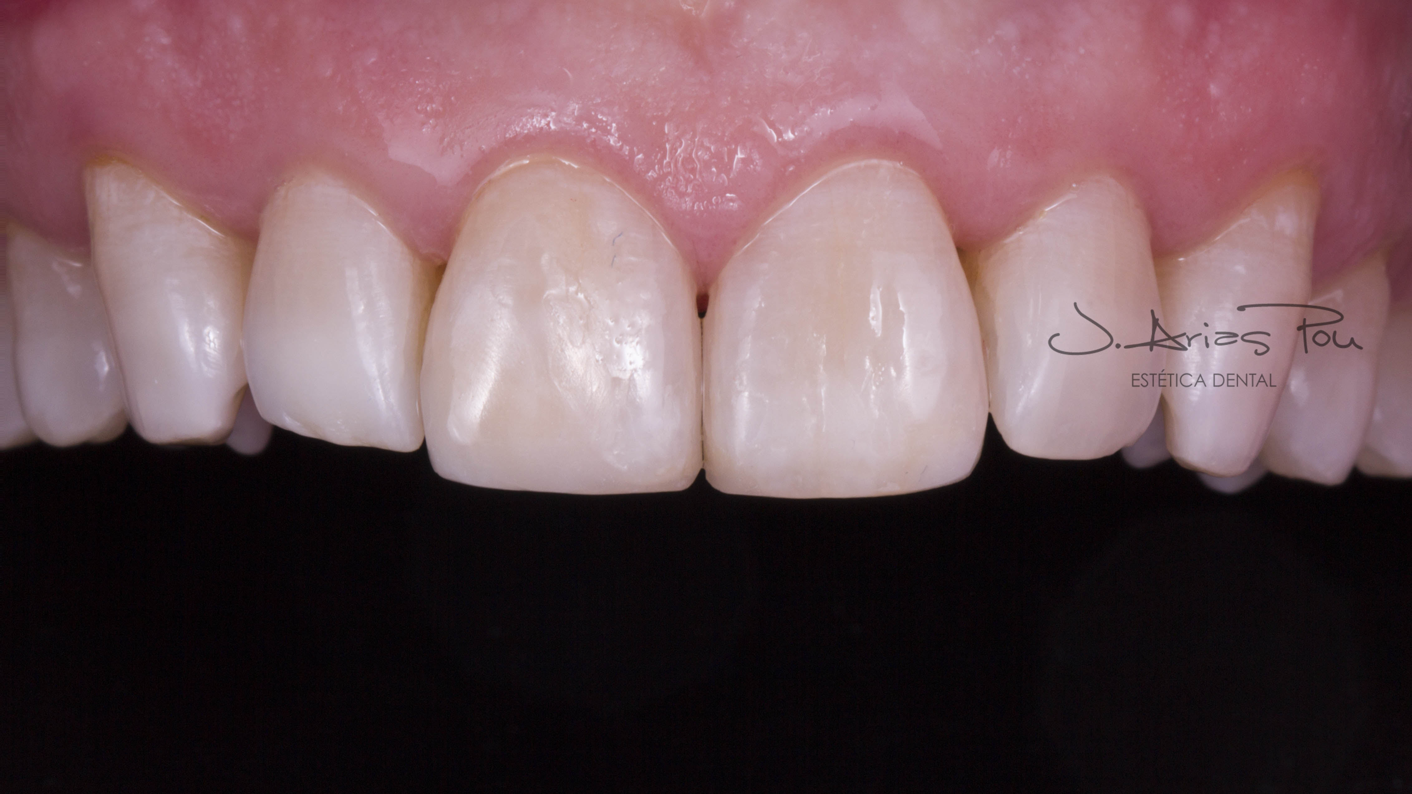
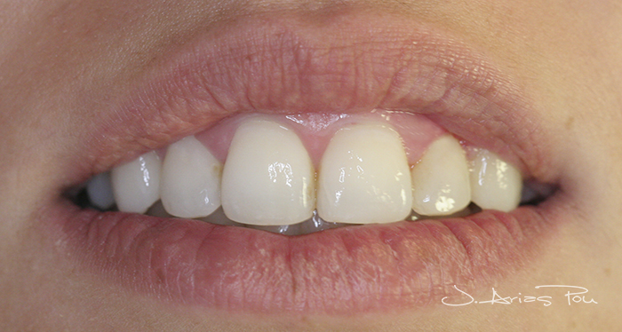
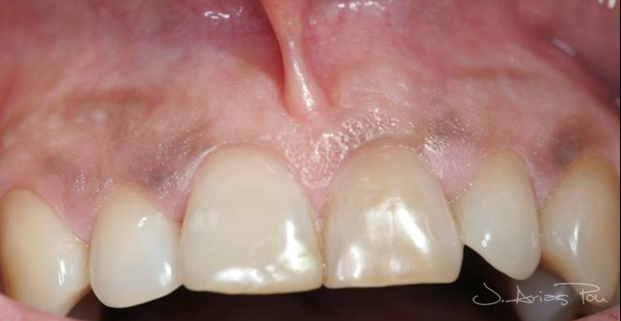
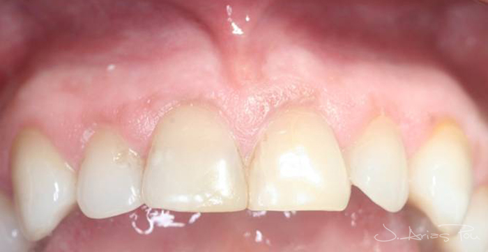
Retracción de encía tratada con composite.

Sexo: varón

Edad: 27

Problema: aumento de la sensibilidad en el cuello de dos dientes debido a la retracción de la encía y la pérdida de estructura mineral del diente a nivel del cuello dental.

Solución: reconstrucciones de composite nanohíbrido. Tratamiento con anestesia local.

Duración del tratamiento: única sesión de 30 minutos.



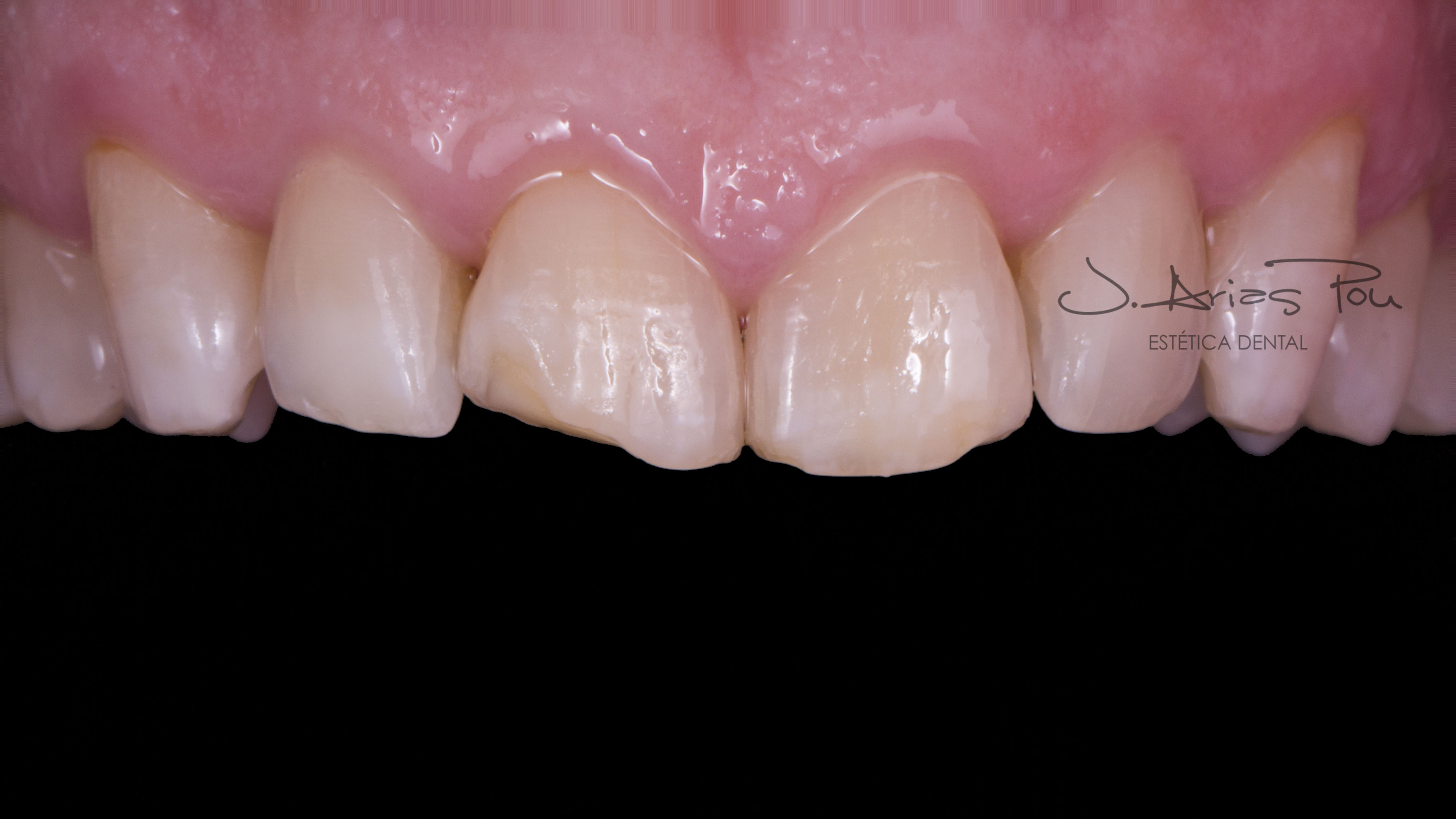
Retracción de encía tratada pon injerto y colgajo de reposición.


Sexo: mujer.

Edad: 45.

Problema: exposición radicular y aumento de la sensibilidad dental debido a la retracción de la encía.

Solución: colgajo de reposición para cubrir la raiz expuesta junto con un injerto de tejido conectivo. Tratamiento con anestesia local.

Duración del tratamiento: única sesión de 90 minutos. Y revisiones periódicas hasta la estabilización del tejido blando.

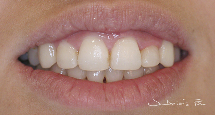
ALARGAMIENTO CORONARIO. GINGIVECTOMÍA Y GINGIVOPLASTIA.

Sexo: Hombre

Edad: 45

Problema: Encía baja en los incisivos centrales superiores. Dientes cortos, rotos y decolorados.

Solución: Gingivectomía y gingivoplastia para el alargamiento coronario de los dos incisivos centrales superiores (se recorta la encía para darles una proporción más adecuada y hacer la sonrisa más armónica). Posteriormente se realizó un tratamiento blanqueador y unas reconstrucciones de resina compuesta estética.

Duración del tratamiento: La cirugía se realizó en una única sesión de 45 minutos con anestesia local.



Pigmentación de encí­as.

Sexo: mujer

Edad: 42

Problema: manchas por exceso de melanína en las encías.

Solución: microabrasión. Tratamiento con anestesia local.

Duración del tratamiento: única sesión de 30 minutos.

Diente corto tratada con alargamiento coronario (gingivoplastia).


Sexo: mujer

Edad: 24

Problema: diente de aspecto corto respecto a su contralateral, en perjuicio de la sonrisa.

Solución: Gingivoplastia para alargamiento coronario (se recorta la encía del incisivo lateral superior derecho para que su longitud sea igual al contralateral). Tratamiento con anestesia local.

Duración del tratamiento: única sesión de 30 minutos.